Публикатор

Отображение сетевого контента (Глобально)

Портал о здоровом образе жизни: 
www.takzdorovo.ru

Пензенский областной центр медицинской профилактики: 
profilaktika-penza.ru

Отображение сетевого контента (Глобально)

Здоровье человека среди всех жизненных ценностей занимает центральное место. Здоровье — это непременное условие благополучия человека и его счастья. На здоровье человека оказывают влияние:

  • Образ жизни - 60%;
  • Наследственность – 20%;
  • Система здравоохранения – 10%;
  • Окружающая среда – 10%.

Сохраняя и укрепляя свое личное здоровье, каждый человек вносит свой вклад в общественное здоровье, которое в конечном итоге является основой национальной безопасности России. Путь к этому один — соблюдение норм здорового образа жизни. Существует несколько «Правил здорового образа жизни», при соблюдении которых Ваша жизнь станет более счастливой.

Здоровый образ жизни – образ жизни человека, направленный на сохранение здоровья, профилактику болезней и укрепление человеческого организма в целом.

Помните! Здоровый образ жизни может стать планом мероприятий, подобранным индивидуально для каждого человека. Он должен  включать в себя описанные выше критерии, но, при этом, учитывается физиология и психология каждого человека, кто желает повысить уровень своего здоровья.

Придерживаться принципов ЗОЖ может и должен каждый человек, для этого не требуется специальная подготовка.

Обо всем этом более подробно можно найти информацию на Портале о здоровом образе жизни   http://www.takzdorovo.ru/ и на сайте Пензенского областного центра медицинской профилактики http://profilaktika-penza.ru/ru/.

29 июня 2021, 14:55
21 июля 2021, 16:33

Публикатор

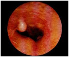
Экзостозы наружного слухового прохода


Экзостозы наружного слухового прохода – это доброкачественные костные новообразования, которые возникают на барабанной части височной кости. Клинические проявления заболевания развиваются только при их сильном разрастании; включают в себя снижение остроты слуха, шум в ушах, головную боль, реже – постепенно нарастающую локальную болезненность. В процессе диагностики используются анамнестические сведения, результаты отоскопии и аудиометрии, при необходимости – компьютерной томографии. Лечение показано только при выраженном разрастании экзостозов с появлением клинической симптоматики, заключается в хирургическом удалении образований.

Экзостозы наружного слухового прохода – относительно редкая патология. Она наблюдается примерно у 1,5% всех пациентов, страдающих заболеваниями ушей. Обычно экзостозы встречаются среди лиц молодого возраста, зачастую – до 20 лет. От этой патологии страдают преимущественно представители мужского пола. Соотношение заболеваемости между мужчинами и женщинами составляет 11:1. Осложнения, спровоцированные костными разрастаниями этой локализации, встречаются редко – не более чем в 5-8% случаев.

Причины

Точная этиология заболевания до конца не установлена. Тем не менее,  выделяют целый ряд способствующих факторов. Существуют врожденные и приобретенные этиологические формы данной патологии. При первой из них ведущую роль играют генетические мутации, передающиеся от родителей. Вероятность возникновения спонтанной мутации у ребенка очень низкая. Приобретенный вариант заболевания способны провоцировать:

  • Постоянный контакт с водой. Считается одной из наиболее распространенных причин. Согласно исследованиям, проведенным в конце 90-х годов, свыше 70% серфингистов имеют экзостозы слухового канала. Также к группе риска относятся профессиональные пловцы и люди, часто посещающие бассейн.
  • Переохлаждение. Включает работу в условиях низких температур и постоянное переохлаждение, обусловленное климатическими условиями проживания. Отдельно выделяют людей, занимающихся закаливанием.
  • Хронический воспалительный процесс. Гиперплазия костной ткани наружного слухового прохода может быть обусловлена постоянными воспалительными реакциями этой области: хроническим наружным отитом, продолжительным гноетечением при среднем отите, большими скоплениями ушной серы.
  • Травматические повреждения. Иногда травмы области уха, сопровождающиеся переломом височной кости в барабанной части в процессе заживления приводят к избыточному образованию костной ткани и формированию экзостозов.

Патогенез

Экзостозы наружного уха являются результатом частичной гиперплазии тканей височной кости, формирующей костною часть наружного слухового канала. При врожденном варианте заболевания гиперплазия возникает на фоне расстройства процессов внутриутробного формирования плода. При приобретенном типе патологии разрастания образуются в результате нарушения работы остеобластов под влиянием этиологических факторов. Как правило, процесс симметричен и сопровождается появлением сразу нескольких образований в каждом ухе. Гистологически они представляют собой плотную костную ткань, реже – губчатую костную структуру. Экзостозы в обоих случаях характеризуются беспорядочным расположением остеонов. Иногда может происходить переход одного варианта в другой.

Симптомы

Длительное время заболевание протекает бессимптомно. Клинические проявления возникают только при значительном разрастании экзостозов и перекрытии большей части просвета слухового прохода или соприкосновении нескольких образований между собой. В первом случае постепенно развивается двухсторонняя кондуктивная тугоухость, которая сопровождается снижением остроты слуха, низкочастотным гулким шумом в ушах, усилением восприятия собственного голоса.

Иногда наблюдаются малоинтенсивные разлитые головные боли периодического или постоянного характера. Часто между несколькими экзостозными образованиями образуется углубление, заполняющееся ушной серой, частичками отслоившегося эпидермиса или гнойными массами. Это приводит к усугублению имеющихся симптомов, появлению чувства тяжести и давления внутри уха, способствует развитию воспалительного процесса. При соприкосновении двух экзостозов и их дальнейшем росте на первый план выходит прогрессирующий болевой синдром.

Осложнения

Осложнения экзостозов наружного слухового прохода преимущественно связаны с нарушением выделения ушной серы и отмерших клеток рогового шара эпидермиса. Их локальное скопление создает благоприятные условия для роста и размножения патогенной микрофлоры с дальнейшим развитием наружного острого и хронического отита. Нарушение оттока гнойных масс при остром гнойном среднем отите способствует хронизации воспаления и распространению патологического процесса на прилегающие анатомические структуры. Это становится причиной вторичных мастоидитов, артритов височно-нижнечелюстного сустава. В редких случаях развиваются внутричерепные бактериальные осложнения.

Диагностика

Для подтверждения диагноза используется:

  • Отоскопия. Визуальный осмотр слухового прохода обоих ушей позволяет обнаружить на задневерхней стенке одно или несколько возвышений с широкой основой, покрытых нормальной неизмененной кожей. Реже экзостозы имеют острые края, форму шара или гриба. Поверхность обычно гладкая. При надавли вании пуговчатым зондом определяется высокая плотность, характерная для костной ткани.
  • Тональная пороговая аудиометрия. Позволяет выявить и определить степень тяжести ухудшения слуха. На аудиограмме отображается поражение звукопроводящей системы в виде снижения воздушной проводимости. Костная проводимость остается в пределах возрастной нормы. Эти результаты дают возможность провести дифференциальную диагностику с сенсоневральной тугоухостью.
  • Томография. КТ височных костей показана при невозможности четко дифференцировать экзостозные образования с деформацией слухового прохода другими опухолями или последствий перелома основания черепа. При компьютерной томографии определяются симметричные костные разрастания височной кости, частично перекрывающие просвет наружного уха на фоне ее нормальной общей структуры.

Лечение экзостозов наружного уха

Лечение только хирургическое - удаление экзостоза. Вопрос о целесообразности операции решается в индивидуальном порядке для каждого пациента. Экзостозы малых размеров не удаляются, больной наблюдается у отоларинголога. В ситуациях, когда образования препятствуют эвакуации гноя, ушной серы или становятся причиной нарушения слуха, показано оперативное вмешательство, которое может проводиться двумя основными способами:

  • Эндоуральное удаление. Метод выбора при одиночных или имеющих тонкую ножку экзостозах. Выполняется под местной анестезией. Непосредственно удаление осуществляется при помощи долота.
  • Ретроаурикулярное удаление. Показано при множественных и плоских экзостозных образованиях. Производится расширение просвета слухового канала с помощью специальных инструментов. Вмешательство проводится только под наркозом.

Прогноз и профилактика

Прогноз для выздоровления благоприятный. Полноценное лечение позволяет полностью купировать все имеющиеся симптомы и восстановить остроту слуха до прежнего уровня. Рецидивы наблюдаются редко. Специфической профилактики экзостозов наружного слухового прохода не существует. К неспецифическим превентивным мероприятиям относятся предотвращение травматизации и переохлаждения области височной кости, использование специальных берушей для плавания при посещении бассейна, своевременное лечение других заболеваний наружного и среднего уха.

 

22 апреля 2025, 11:51
22 апреля 2025, 11:52

Видеоролики

— 6 Предметов на странице
Показывается результатов: 1 - 6 из 40.

Публикатор